Skip to main content
  • For Providers
  • Access MyChart
  • Careers
  • Giving
  • Pay My Bill
  • Find a Doctor
  • Pay a Bill
  • Request A Price Quote
  • Access MyChart
  • Explore Careers
  • Register As A Visitor
  • Contact Us
  • Attend Class or Event
  • Get Medical Records
  • Volunteer
  • Explore Schools and Programs
  • Donate
  • Find Durable Medical Equipment

Blessing Health System

  • Find A Doctor
  • Treatments
  • Locations
  • For Patients
  • Find A Doctor
  • Treatments
  • Locations
  • For Patients
  • For Providers
  • MyChart
  • Careers
  • Giving
  • Billing
  • Find a Doctor
  • Register As A Visitor
  • Pay a Bill
  • Careers
  • Contact Us
  • Attend Class or Event
  • Explore Schools and Programs
  • Find Durable Medical Equipment
  • Get Medical Records
  • Billing and Finance
  • Volunteer
  • Donate

Treatments

View All
 

Doctors

View All
 

Pages

 

Locations

View All
 

Events

View All
 
 

Popular Pages

Recently Viewed

Programs

 

Events

View All
 

Pages

 

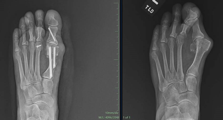
Woman finds relief after years of pain

  1. Home
Before and After Surgery
Podiatry

Linda Lamb was missing something in her life. Sandals.

/news/woman-finds-relief-after-years-pain
In This Section
  1. Home
Blessing Health System
Blessing Health System
PO Box 7005
Quincy, IL 62305-7005
(217) 223-1200
  • Facebook
  • Youtube
  • Twitter
  • Instagram

Information

  • Find A Doctor
  • Treatments
  • Locations
  • For Patients
  • For Providers
  • About Us
  • Community Resources
  • Denman Services, Inc.
  • Giving
  • Pay My Bill
  • Price Transparency
  • Request A Price Quote
  • Surprise Billing
  • Contact Us
  • Volunteer
  • Visitor Information
  • Notice of Privacy Practices
  • Disclaimer
  • Events
  • Notice of Non-Discrimination & Language Assistance Services

For Employees

  • Employee Access
  • EMR Training
  • BenefitSolver
  • Virtual HR
  • Remote Help Desk Support
  • Kronos Dimensions
  • Year End Tax Forms
© 2026

Blessing Corporate Services All Rights Reserved

Back to top